Ada yang tau minyak kelapa (asli) /santan???? PAsti taulah!!!!! Minyak kelapa/santan murni diakui mempunyai kualitas yang sangatlah tinggi, di buat dengan cara alami serta bebas zat-zat kimia berbahaya. Okey. Kita bicara perihal minyak kelapa (asli)/santan di buat kumur mentah mentah. Anda mungkin saja tidak suka pada rasanya, namun itu tidak terlalu penting lantaran Anda akan tidak mengkonsumsinya.
Anda cuma mesti menempatkan dua sendok makan minyak kelapa (asli) /santan di mulut Anda serta basuh gigi Anda seperti Anda membilasnya dengan air sesudah menggosok-gosok gigi. Tahan minyak dalam di mulut Anda selama 5 menit serta lalu Anda bisa meludahkannya. Bila itu jadi tidak nyaman, itu yaitu hal yang baik lantaran sebenarnya itu yaitu proses pembersihannya
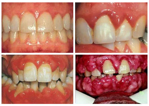
Perawatan ini adalah bagian dari penyembuhan Ayurvedic serta sudah dipakai sejak zaman kuno. Anda tidak akan mempunyai permasalahan dengan radang gusi, bau mulut, radang kulit, jerawat serta banyak lagisetelah rajin lakukan ini
Minyak kelapa/santan menarik keluar mikroba serta bakteri dari pori-pori mulut Anda serta semua tubuh Anda. Ilmu tidak mendukung fakta ini. Madu, minyak serta sebagian obat alami yang lain yang membuat kulit lebih lembut untuk menghilangkan luka.
Anda cuma mesti menempatkan dua sendok makan minyak kelapa (asli) /santan di mulut Anda serta basuh gigi Anda seperti Anda membilasnya dengan air sesudah menggosok-gosok gigi. Tahan minyak dalam di mulut Anda selama 5 menit serta lalu Anda bisa meludahkannya. Bila itu jadi tidak nyaman, itu yaitu hal yang baik lantaran sebenarnya itu yaitu proses pembersihannya
Perawatan ini adalah bagian dari penyembuhan Ayurvedic serta sudah dipakai sejak zaman kuno. Anda tidak akan mempunyai permasalahan dengan radang gusi, bau mulut, radang kulit, jerawat serta banyak lagisetelah rajin lakukan ini
Minyak kelapa/santan menarik keluar mikroba serta bakteri dari pori-pori mulut Anda serta semua tubuh Anda. Ilmu tidak mendukung fakta ini. Madu, minyak serta sebagian obat alami yang lain yang membuat kulit lebih lembut untuk menghilangkan luka.
Sponsored Links
